Smile Gallery
Reclaim Your Confidence
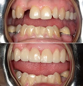
See Real Smile Transformations
Cheryl Boggs
